Archive

24 December 2025

Sariawan di Dalam Gusi: Penyebab, Gejala, dan Cara Mengatasinya

Sariawan merupakan salah satu masalah kesehatan mulut yang sering dialami banyak orang. Tidak hanya muncul di lidah atau bagian dalam pipi, sariawan juga dapat terjadi di dalam gusi. Kondisi ini sering menimbulkan rasa nyeri yang mengganggu, terutama saat makan, minum, atau menyikat gigi. Apa Itu Sariawan di Dalam Gusi? Sariawan di dalam gusi adalah luka […]

Lanjutkan Membaca
12 September 2025

Gingivitis vs Periodontitis: Apa Bedanya?

Kesehatan gigi dan mulut tidak hanya sebatas mencegah gigi berlubang. Gusi juga memiliki peran penting dalam menunjang kesehatan mulut secara keseluruhan. Dua masalah gusi yang sering ditemui adalah gingivitis dan periodontitis. Keduanya sama-sama melibatkan peradangan gusi, namun tingkat keparahan dan dampaknya berbeda. Apa Itu Gingivitis? Gingivitis adalah peradangan pada gusi yang umumnya ditandai dengan gusi […]

Lanjutkan Membaca
8 July 2025

Alasan Kenapa Gusi pada Behel pasti Meradang

Gusi pada pemakai behel memang sering terjadinya meradang, dan ada alasan yang mendasarinya. Peradangan ini disebabkan oleh iritasi dari kawat dan bracket, kesulitan menjaga kebersihan mulut, pergeseran gigi yang membuat ruang kecil di antara gigi menjadi tempat bakteri berkembang biak, serta reaksi alami tubuh terhadap pergerakan gigi selama perawatan. Pakai behel emang bikin senyum makin […]

Lanjutkan Membaca
10 June 2025

Gusi kalian hitam? Mungkin ini yang harus kalian coba

Sehabis mandi, badan sudah segar, gigi sudah bersih, namun gusi kalian masih hitam? Kok bisa gitu ya? Gusi yang berwarna hitam atau gelap bisa menjadi masalah estetika yang mengganggu rasa percaya diri. Kondisi ini dapat disebabkan oleh berbagai faktor, seperti kondisi medis tertentu (seperti melanosis atau gangguan pigmen), penggunaan obat-obatan tertentu, kebiasaan merokok, serta gaya […]

Lanjutkan Membaca
29 May 2025

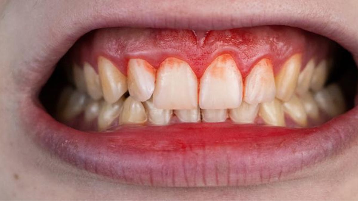
Penyebab dan Pencegahan Gusi Berdarah

Gusi berdarah adalah kondisi yang menandakan adanya peradangan di gusi akibat penyakit tertentu. Kondisi ini juga dapat terjadi pada seseorang yang memiliki kebiasaan menyikat gigi terlalu keras, atau menderita gangguan pembekuan darah. Gusi berdarah yang terjadi sesekali umumnya dapat diatasi dengan menjaga kebersihan mulut. Namun, jika berlangsung secara terus-menerus, gusi berdarah dapat menjadi tanda adanya […]

Lanjutkan Membaca