Gusi kalian hitam? Mungkin ini yang harus kalian coba

Sehabis mandi, badan sudah segar, gigi sudah bersih, namun gusi kalian masih hitam? Kok bisa gitu ya?
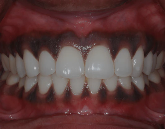
Gusi yang berwarna hitam atau gelap bisa menjadi masalah estetika yang mengganggu rasa percaya diri. Kondisi ini dapat disebabkan oleh berbagai faktor, seperti kondisi medis tertentu (seperti melanosis atau gangguan pigmen), penggunaan obat-obatan tertentu, kebiasaan merokok, serta gaya hidup yang kurang sehat. Setiap faktor ini dapat memicu peningkatan produksi melanin atau menyebabkan perubahan warna alami pada jaringan gusi.
Untuk mengatasi masalah ini, salah satu solusi yang bisa dipertimbangkan adalah prosedur bleaching gusi atau yang secara medis dikenal dengan istilah depigmentasi gingiva. Prosedur ini bertujuan untuk menghilangkan pigmentasi gelap pada gusi, sehingga warna gusi tampak lebih cerah dan alami. Selain meningkatkan estetika senyum, hasilnya juga dapat menambah rasa percaya diri dalam berkomunikasi dan berinteraksi sehari-hari.
Namun, sebelum menjalani prosedur bleaching gusi, sangat disarankan untuk berkonsultasi terlebih dahulu dengan dokter gigi. Konsultasi ini penting untuk mengetahui penyebab pasti perubahan warna gusi dan memastikan bahwa tindakan yang diambil sesuai dengan kondisi kesehatan mulut Anda.
Jangan lupa untuk bookmark web ini jika dirasa bermanfaat, dan ikuti akun Instagram kami @3k_dentalcare_semarang untuk mendapatkan berbagai informasi dan edukasi seputar kesehatan gigi dan mulut lainnya!